Whether a patient with old pulmonary tuberculosis can pass the physical examination depends on the specific examination items and the stability of the lesion. If the lesion has calcified and there are no active lesions, it usually does not affect the physical examination results; If there are active lesions or impaired lung function, it may affect the pass rate of some physical examination items.

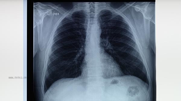
Old pulmonary tuberculosis refers to fibrotic and calcified lesions left over from previous infection with Mycobacterium tuberculosis after treatment or self-healing. This type of patient's lung imaging often shows linear shadows or calcifications, but sputum tests are negative and there are no symptoms of tuberculosis activity such as cough or low-grade fever. For routine entry physical examination or health certificate application, if the chest X-ray only indicates old lesions and there is no risk of infection, the physical examination institution usually approves it. Some special occupational medical examinations, such as pilots and divers, have high requirements for lung function and require comprehensive evaluation based on the results of lung ventilation function tests. When the scope of old lesions is large and leads to extensive fibrosis of lung tissue, it may cause a decrease in lung capacity or diffuse dysfunction, which may affect the physical examination items that have strict requirements for cardiopulmonary function. If the chest X-ray shows blurry edges of the lesion with surrounding infiltration shadows, or if acid fast bacilli are detected in the sputum smear, it indicates tuberculosis recurrence and treatment is needed. At this time, the physical examination will not pass. Some medical institutions may require previous tuberculosis treatment records and recent follow-up reports to exclude active tuberculosis.

It is recommended that patients with old pulmonary tuberculosis undergo chest CT and sputum culture re examination before physical examination to confirm the absence of active lesions. It is necessary to maintain sufficient sleep and a balanced diet in daily life, and engage in appropriate aerobic exercise to enhance lung function. Actively explain the history of tuberculosis to doctors and provide complete medical records during physical examination, which is helpful to accurately evaluate the physical examination results.

Comments (0)
Leave a Comment
No comments yet
Be the first to share your thoughts!