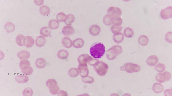
A high percentage of eosinophils may be related to allergic reactions, chronic inflammation, or blood system diseases, and should be comprehensively judged in conjunction with other examination indicators. Eosinophils are a type of white blood cell, with a very low normal proportion. If they are significantly elevated, it may indicate the presence of abnormal immune reactions or bone marrow proliferative diseases in the body.

Allergic diseases are common causes of increased eosinophils, such as pollen syndrome, allergic rhinitis, or food allergies. After these patients come into contact with allergens, eosinophils release inflammatory mediators such as histamine, leading to vasodilation and mucosal edema. Blood tests may be accompanied by elevated IgE antibodies, and skin prick tests can help identify allergens. Treatment should avoid contact with allergens and, if necessary, use antihistamines such as loratadine tablets and cetirizine drops. Some chronic inflammatory states such as rheumatoid arthritis and ulcerative colitis may also cause mild elevation of eosinophils. This type of disease is usually accompanied by abnormal inflammatory indicators such as increased C-reactive protein and accelerated erythrocyte sedimentation rate. Patients may experience characteristic symptoms such as joint swelling, abdominal pain, and diarrhea. Diagnosis should be confirmed through immunological examination and imaging evaluation, and treatment should focus on controlling the primary disease. Hematological disorders such as chronic myeloid leukemia, polycythemia vera, and other bone marrow proliferative diseases can lead to a significant increase in eosinophils. These patients may have symptoms such as splenomegaly, night sweats, and weight loss. Immature cells can be seen on peripheral blood smears, and genetic testing can detect abnormalities such as BCR-ABL fusion genes. After diagnosis, targeted drugs or chemotherapy regimens should be used according to the classification. When the percentage of eosinophils is found to be high, it is recommended to recheck the blood routine and complete the peripheral blood smear examination. Daily exposure to known allergens should be avoided, and adequate sleep and balanced diet should be maintained. If there are persistent abnormalities or other symptoms, it is necessary to seek medical attention promptly at the hematology or immunology department, and further clarify the cause through bone marrow puncture, genetic testing, etc. Do not take medication or health supplements on your own without the guidance of a doctor.


Comments (0)
Leave a Comment
No comments yet
Be the first to share your thoughts!