A high percentage of lymphocytes may be caused by viral infections, bacterial infections, autoimmune diseases, hematological disorders, or drug reactions.
1. Viral infection:

EB virus, influenza virus, hepatitis virus and other infections can stimulate lymphocyte proliferation, leading to an increase in lymphocyte percentage. This type of situation is usually accompanied by symptoms such as fever and sore throat, and blood routine examination shows an increase in the absolute value of lymphocytes. The increase in lymphocytes caused by viral infection is mostly temporary and gradually decreases to the normal range as the condition recovers.
2. Bacterial infection:
Infection with special pathogens such as tuberculosis bacilli and pertussis bacilli can cause persistent lymphocyte reactions. This type of infection is often accompanied by characteristic symptoms such as long-term low-grade fever and cough, and needs to be diagnosed through pathogen testing. Unlike viral infections, the increase in lymphocytes caused by some bacterial infections may last for a longer period of time.
3. Autoimmune diseases:

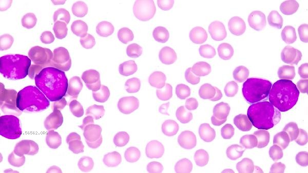
Rheumatoid arthritis, systemic lupus erythematosus, and other diseases can lead to abnormal activation of the immune system, manifested as an increase in the proportion of lymphocytes. Patients usually have typical symptoms such as joint swelling and pain, rash, etc., which need to be diagnosed in combination with autoantibody testing. This type of disease requires long-term immune regulation therapy. 4. Hematological disorders: Chronic lymphocytic leukemia, lymphoma, and other hematological malignancies can directly lead to clonal proliferation of lymphocytes. This type of disease is more common in middle-aged and elderly people, and may be accompanied by symptoms such as lymph node enlargement and night sweats. It needs to be diagnosed through bone marrow puncture and flow cytometry.
5. Drug effects:
Some antiepileptic drugs, immunosuppressants, and other drugs may cause drug-induced lymphocyte proliferation. This change is usually reversible after discontinuation and needs to be judged based on medication history. The changes in lymphocyte proportion caused by drugs are generally not accompanied by clinical symptoms. When the lymphocyte percentage is found to be high, it is recommended to recheck the blood routine and observe the dynamic changes. Daily attention should be paid to maintaining sufficient sleep and supplementing nutrients such as vitamin C in moderation to enhance immunity. Avoiding overwork and emotional tension, quitting smoking and limiting alcohol consumption can help balance the immune system. If there are persistent abnormalities or accompanying symptoms, further evaluation such as lymphocyte subset analysis and virus serological testing should be conducted in a timely manner. Diet can increase the intake of high-quality protein and fresh fruits and vegetables, and moderate exercise can also help regulate immune function.

Comments (0)
Leave a Comment
No comments yet
Be the first to share your thoughts!