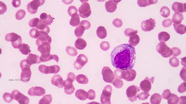
The alkaline cell ratio of 1.3% is generally within the normal range and does not require special treatment. Eosinophils are a type of white blood cell, with a normal ratio between 0-1.5%. A slight increase may be related to physiological fluctuations or mild inflammatory reactions. The eosinophil ratio of 1.3% is close to the upper limit of normal, but in most cases it does not cause significant symptoms. Healthy individuals may experience similar results during physical examinations, which may be related to recent fatigue, mild allergies, or environmental factors. This type of physiological fluctuation usually does not require intervention, and it is recommended to have a follow-up blood routine examination 1-3 months later to observe changes. If accompanied by allergic symptoms such as skin itching and rash, daily contact materials can be recorded to help identify the cause. In rare cases, persistently high basophil ratios may be associated with chronic inflammation, parasitic infections, or myeloproliferative diseases. If the re examination results continue to exceed 1.5%, or are accompanied by symptoms such as weight loss, bone pain, and splenomegaly, further examinations such as peripheral blood smear and bone marrow puncture are required. Hematological disorders such as polycythemia vera and chronic myeloid leukemia may also lead to abnormal eosinophils, but these diseases are often accompanied by significant abnormalities in other indicators.

It is recommended to maintain a regular schedule and balanced diet to avoid overexertion. Daily intake of foods rich in vitamin B12, such as fish and eggs, can contribute to blood cell health. If the follow-up examination results continue to be abnormal or other discomfort symptoms appear, it is necessary to seek medical attention and complete the examination at the hematology department in a timely manner.


Comments (0)
Leave a Comment
No comments yet
Be the first to share your thoughts!